-
Relato de caso: Carcinoma hepatocelular e colangiocarcinoma em tumor misto em um cão
O estudo de casos de neoplasias hepáticas em cães colabora para compreender a complexidade dos tumores que afetam o fígado, tanto em animais quanto em humanos. O carcinoma hepatocelular e colangiocelular misto (cHCC-CCA) é um exemplo raro dessa condição e foi recentemente identificado em um cão atendido pelo Laboratório de Patologia Veterinária da UFSC, Campus Curitibanos.
- Caso Clínico
Segundo o clínico, um cão macho, sem raça definida, de 12 anos, foi encaminhado ao LABOPAVE com histórico de anorexia, fraqueza progressiva e paralisia.
Os exames laboratoriais indicaram alterações hepáticas (FA 639 UI/L, albumina 1,8 g/dL). Diante do agravamento do quadro clínico, o animal foi submetido à eutanásia e encaminhado para necropsia.
- Achados Macroscópicos e Microscópicos
Fígado: bordos arredondados, aumento difuso e superfície irregular. Múltiplas áreas brancacentas de 0,2 até 1,5 cm, com consistência macia a firme e presença de áreas císticas.
Pâncreas: nodulações multifocais firmes, semelhantes às observadas no fígado.
Pulmões: múltiplos focos de pequenas nodulações brancacentas de 0,5cm.
Histologia: o parênquima hepático apresentava áreas neoplásicas formadas por cordões e túbulos de células pleomórficas, separadas por estroma fibrovascular delicado. As células variavam de redondas a poliédricas, com núcleos basofílicos e citoplasma amplo e eosinofílico, frequentemente vacuolizado. Foram observadas 18 mitoses em 2,37 mm².
Lesões semelhantes foram observadas no pâncreas e pulmões, compatíveis com metástases.
Figura 1. Fígado de um canino. À esquerda, macroscopia evidenciando bordos arredondados, aumento difuso e superfície irregular. À direita, observam-se múltiplas áreas brancacentas variando de 0,2 a 1,5 cm de diâmetro, além de regiões com evidência do padrão lobular.
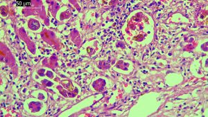
Figura 2. Fígado de um canino. Microscopia mostrando, no canto superior esquerdo, células neoplásicas dispostas em padrão cordonal, enquanto no lado direito observam-se arranjos tubulares. Notam-se células em mitose e infiltrado linfoplasmocítico no interstício. Coloração de Hematoxilina e Eosina (H&E), aumento total de 400×.
Figura 3. Pulmão de um canino. Microscopia evidenciando, no canto superior direito, células neoplásicas dispostas em arranjo tubular. Coloração de Hematoxilina e Eosina (H&E), aumento total de 100×.
- Diagnóstico
Carcinoma hepatocelular e colangiocarcinoma em tumor misto (cHCC-CCA).
- Discussões e Implicações
A ocorrência de tumores hepáticos mistos, embora rara, evidencia a complexidade da oncologia veterinária e os desafios que ainda persistem no diagnóstico e tratamento dessas neoplasias. Casos como este, envolvendo animais idosos e o comprometimento de múltiplos órgãos, reforçam a necessidade de uma abordagem diagnóstica cuidadosa e abrangente.
As neoplasias hepáticas primárias em cães são incomuns, correspondendo a apenas 0,6% a 2,6% dos tumores nesta espécie. Dentro desse grupo, o carcinoma hepatocelular (HCC) é o mais frequente, enquanto o colangiocarcinoma (CCA) e as formas combinadas (cHCC-CCA) representam apenas 1,8% a 2,0% dos casos descritos.
Devido às semelhanças morfológicas entre os diferentes tipos de carcinoma, erros diagnósticos podem ocorrer quando se baseiam apenas em achados clínicos ou de imagem. Assim, a avaliação histopatológica detalhada é essencial para a correta diferenciação das neoplasias hepáticas, sendo o único método capaz de confirmar com precisão o diagnóstico de carcinoma hepatocelular e colangiocarcinoma em tumor misto (cHCC-CCA).
Além de sua relevância clínica, a documentação e análise de casos como este fortalecem o campo da oncologia comparada, permitindo a correlação entre achados patológicos em animais e humanos. Esse intercâmbio de conhecimento contribui para o entendimento do comportamento biológico dos tumores hepáticos e para o desenvolvimento de melhores estratégias diagnósticas e prognósticas em ambas as espécies.
Referências:
- Gibson, E. A.; Goldman, R. E.; Culp, W. T. N.
Comparative oncology: Management of hepatic neoplasia in humans and dogs. Veterinary Sciences, v. 9, n. 489, 2022. DOI: https://doi.org/10.3390/vetsci9090489. - Zahirović, A.; Ćoralić, A.; Hadžijunuzović-Alagić, D.; Beširović, H.; Filipović, S.; Jović, T.
Combined canine hepatocellular and cholangiocellular carcinoma: a case study. Veterinaria, v. 60, n. 1-2, p. 93-97, 2011. - Terai, K.; Ishigaki, K.; Kagawa, Y.; Okada, K.; Yoshida, O.; Sakurai, N.; Heishima, T.; Asano, K.
Clinical, diagnostic, and pathologic features and surgical outcomes of combined hepatocellular-cholangiocarcinoma in dogs: 14 cases (2009-2021). Journal of the American Veterinary Medical Association (JAVMA), v. 260, n. 13, p. 1668-1676, 2022. DOI: https://doi.org/10.2460/javma.21.12.0514. - Viganò, L.; Lleo, A.; Muglia, R.; Gennaro, N.; Samà, L.; Colapietro, F.; Roncalli, M.; Aghemo, A.; Chiti, A.; Di Tommaso, L.; Solbiati, L.; Colombo, M.; Torzilli, G.
Intrahepatic cholangiocellular carcinoma with radiological enhancement patterns mimicking hepatocellular carcinoma. Updates in Surgery, v. 72, p. 1081-1093, 2020. DOI: https://doi.org/10.1007/s13304-020-00750-5. - Shiga, A.; Shirota, K.; Enomoto, M.
Combined hepatocellular and cholangiocellular carcinoma in a dog. Journal of Veterinary Medical Science, v. 63, n. 4, p. 483–486, 2001. DOI: https://doi.org/10.1292/jvms.63.483.
- Mshelbwala, F. M.; Ajayi, O. L.; Adebiyi, A. A.; Olaniyi, M. O.; Oladipo, T. M.; Okpe, E. F.; Rahman, S. A.; Makinde, A. F.; Kadiri, A. K. F.; Abakpa, S. A. V.; Olasoju, M. L. Cholangiocarcinoma: Consistent clinical, cytological, hematological, and biochemical findings and pathomorphology of the liver and kidney in five exotic dog breeds in Abeokuta, Nigeria. Veterinary World, v. 17, n. 9, p. 2053–2061, 2024. DOI: 10.14202/vetworld.2024.2053-2061
-
Persistência do forame oval em coelho
No Laboratório de Patologia Veterinária da Universidade Federal de Santa Catarina (UFSC – Campus Curitibanos), foi analisado um caso de persistência do forame oval em um coelho macho, condição congênita que interfere na hemodinâmica cardíaca e pode resultar em alterações sistêmicas associadas à insuficiência cardíaca congestiva.
Durante a vida fetal, o forame oval constitui uma comunicação entre os átrios direito e esquerdo, permitindo o desvio do sangue oxigenado proveniente da placenta diretamente para o átrio esquerdo, sem passagem pelos pulmões ainda não funcionais. Após o nascimento, a mudança nas pressões intracardíacas leva ao fechamento fisiológico dessa comunicação. Quando esse processo não ocorre, observa-se a persistência do forame oval, que pode causar sobrecarga volumétrica e dilatação das câmaras direitas, predispondo à congestão sistêmica (MUÑOZ-PÉREZ et al., 2018).
O animal apresentava histórico de alterações cardíacas e, em exame radiográfico, observou-se dilatação cardíaca generalizada. À necropsia, o coração apresentava aumento do átrio e ventrículo direitos e forame oval patente medindo cerca de 1 cm de diâmetro (Figura 1). O fígado apresentava aspecto moteado e consistência firme, enquanto os rins exibiam áreas irregulares, deprimidas e escurecidas que se estendiam da cápsula à região medular.

Figura 1: Coração, medindo em sua totalidade 4 x 3 x 3 cm, evidenciação do forame oval patente, medindo 1 x 0,7 cm.
Microscopicamente, foram observadas lesões compatíveis com insuficiência cardíaca congestiva crônica, semelhantes às descritas em outras espécies com cardiopatias congênitas (McMANUS et al., 2020). Havia congestão acentuada em fígado, rim, pulmão, pâncreas e adrenal. No fígado, destacava-se degeneração vacuolar centro-lobular (esteatose) e congestão sinusoidal, resultando em padrão clássico de “fígado em noz-moscada” (Figura 2). O baço apresentava macrófagos repletos de hemossiderina, indicativos de hemorragia e hemólise crônicas. Nos rins, observaram-se fibrose intersticial, necrose tubular e presença de cilindros hialinos intraluminais, além de ductos coletores dilatados e corpúsculos renais com espaços urinários aumentados (Figura 3).
Figura 2: fígado, observa-se congestão difusa acentuada. Aumento total 100 x.
Figura 3: Rim, necrose isquêmica crônica multifocal acentuada, com congestão difusa acentuada. Aumento total 400x
Essas alterações microscópicas são frequentemente observadas em casos de insuficiência cardíaca congestiva decorrente de cardiopatias congênitas. Alterações semelhantes também foram relatadas em coelhos domésticos acometidos por falência cardíaca sistêmica, incluindo congestão hepática e pulmonar e dilatação atrial direita (LORD; DEVINE; SMITH, 2011).
O caso evidencia as alterações anatomopatológicas associadas à persistência do forame oval e reforça a importância do diagnóstico precoce de malformações cardíacas congênitas, que podem ocasionar repercussões sistêmicas graves mesmo em espécies consideradas não convencionais, como os coelhos.
REFERÊNCIAS
LORD, B.; DEVINE, C.; SMITH, S. Congestive heart failure in two pet rabbits. Journal of Small Animal Practice, v. 52, n. 1, p. 46-50, 2011. DOI: 10.1111/j.1748-5827.2010.01016.x.
McMANUS, A. et al. An unusual presentation of developmental anomalies of the cardiovascular system including tetralogy of Fallot, double outlet right ventricle, patent foramen ovale and persistent right aortic arch in a Friesian calf. BMC Veterinary Research, v. 16, art. 224, 2020. DOI: 10.1186/s12917-020-02439-8.
MUÑOZ-PÉREZ, J.; PÉREZ-ZAPATA, J.; ÇOLAKOĞLU, E. Ç.; ALESSI, C. Cor triatriatum dexter and persistent foramen ovale in an English Bulldog: a case report. Revue Vétérinaire Clinique, v. 53, n. 3, p. 93-97, 2018. DOI: 10.1016/j.anicom.2018.06.004.
REED, S. D. et al. Histologic characterization of spontaneous catecholamine-induced cardiomyopathy in laboratory New Zealand White rabbits. Journal of Veterinary Diagnostic Investigation, v. 36, n. 5, p. 759-764, 2024. DOI: 10.1177/10406387241244742.
-
Técnica de Necrópsia em Suínos – Imersão na Patologia Macroscópica
No dia 24 de maio de 2025, foi realizado o Módulo 2 do evento intitulado “Imersão na Patologia Macroscópica – 1º Workshop de Técnicas em Patologia Veterinária”, promovido pela Liga Acadêmica de Histologia e Patologia (LAHisPa), em parceria com o Laboratório de Patologia Veterinária (LABOPAVE) da Universidade Federal de Santa Catarina (UFSC).
A atividade foi conduzida de forma presencial, nas dependências do Centro de Educação Profissional (CEDUP) Professor Enori Pozzo, localizado na Avenida Advogado Sebastião Calomeno, nº 450, Bairro São Francisco, Curitibanos/SC – CEP 89520-000, e contou com uma carga horária total de 8 horas.
O módulo reuniu estudantes da UFSC e de outras instituições de ensino superior, interessados em aprofundar seus conhecimentos teóricos e práticos na área da Patologia Veterinária, com ênfase na espécie suína.
Programação e Desenvolvimento das Atividades
No período matutino, foi ministrada a palestra teórica intitulada “Técnica de Necrópsia em Suínos”, conduzida pelo Médico Veterinário e Mestre Jean Carlo Olivio Menegatt, com duração de 3 horas. Durante a exposição, foram abordados aspectos relevantes da sua trajetória profissional, bem como as principais enfermidades que acometem suínos e os procedimentos técnicos, metodológicos e de biossegurança aplicados na realização da necrópsia.
No período vespertino, os participantes foram conduzidos a uma atividade prática supervisionada, na qual o palestrante demonstrou a técnica de necrópsia em suínos e acompanhou, de forma individualizada, os discentes durante a execução do procedimento. Essa abordagem favoreceu a aprendizagem ativa e o desenvolvimento de habilidades práticas essenciais à rotina laboratorial em Patologia Veterinária.
O evento integra uma série de ações extensionistas promovidas pela LAHisPa, com o objetivo de proporcionar formação técnica qualificada, vivência prática e aprimoramento científico, contribuindo para a capacitação dos estudantes e o fortalecimento do ensino-aprendizagem no campo da Patologia Animal.
A atividade está devidamente registrada e aprovada no Sistema Integrado de Gestão de Projetos de Ensino, Pesquisa e Extensão (SIGPEX/UFSC), sob o número 202505112.
-
INSCRIÇÕES ABERTAS!
IMERSÃO NA PATOLOGIA MACROSCÓPICA
1º Workshop de Técnicas em Patologia VeterináriaEstão oficialmente abertas as inscrições para o nosso evento exclusivo voltado à Patologia Veterinária!
https://inscricoes.ufsc.br/activities/11403
29/04 – Workshop – Transformando lesões em palavras
Dra. Aline de Marco Viott
Doutorado em Ciência Animal pela Universidade Federal de Minas Gerais, Brasil(2010)
Professor Adjunto de Patologia Veterinária da Universidade Federal do Paraná , Brasil.
Descrição:
Teórico;
Tema: Descrição macroscópica de lesões;
Duração: 2h;
Modalidade: Online (youtube – ao vivo);
Público alvo: Estudantes e profissionais de veterinária;
Investimento: R$20,00.
24/05 – Curso – Técnica de necrópsia em suínos
Ms. Jean Carlo Olivo Menegatt
Estudante de Doutorado da Universidade Federal do Rio Grande do Sul , Brasil.
Mestrado em Ciências Veterinárias pela Universidade Federal do Rio Grande do Sul, Brasil (2023).
Descrição:
Teórico e prático;
Tema: Técnica de necrópsia em suíno;
Duração: 6h;
Modalidade: Presencial (LABOPAVE);
Público alvo: Estudantes e profissionais de veterinária;
Investimento: R$30,00
VALORES PROMOCIONAIS
Membros LAHisPA:
Desconto 40%
Workshop – Transformando lesões em palavras: R$10,00.
Curso – Técnica de necrópsia em suínos: R$20,00.
Investimento: R$30,00.Demais interessados:
Inscrições em duplas – Desconto 30% – 22/04 – 28/04 (período para desconto)
Workshop – Transformando lesões em palavras: R$30,00.
(R$15,00 por pessoa)
Curso – Técnica de necrópsia em suínos: R$40,00
(R$20,00 por pessoa)
Investimento: R$70,00 (R$35,00 por pessoa)
📌 Como homologar sua inscrição:
Após realizar o pagamento via PIX, envie um e-mail para:📧 lahispa.ufsc@gmail.com
Com as seguintes informações:
- Comprovante do valor pago
- Nome(s) do(s) participante(s) aos quais o valor se refere.

-
IMERSÃO NA PATOLOGIA Macroscópica
1º Workshop de Técnicas em Patologia Veterinária
A Liga Acadêmica de Histologia e Patologia (LAHisPa), em parceria com o Laboratório de Histologia e Patologia Veterinária (LABOPAVE) da Universidade Federal de Santa Catarina (UFSC), tem a honra de convidar estudantes e profissionais da Medicina Veterinária para a Imersão em Patologia Macroscópica, evento que visa aprofundar os conhecimentos teóricos e práticos sobre a descrição de lesões e a técnica de necrópsia em suínos.
Carga horária total: 8 horas (com certificado)
PROGRAMAÇÃO
29 de abril de 2025 – Workshop
Tema: Transformando lesões em palavras
Ministrante: Dra. Aline de Marco Viott
Professora Adjunta de Patologia Veterinária da Universidade Federal do Paraná (UFPR)
Doutora em Ciência Animal pela Universidade Federal de Minas Gerais (UFMG)Modalidade: Online (transmissão ao vivo via YouTube)
Duração: 2 horas
Conteúdo: Fundamentos e estratégias para a descrição macroscópica de lesões.24 de maio de 2025 – Workshop
Tema: Técnica de necrópsia em suínos
Ministrante: Ms. Jean Carlo Olivo Menegatt
Doutorando em Ciências Veterinárias pela Universidade Federal do Rio Grande do Sul (UFRGS)
Mestre em Ciências Veterinárias pela UFRGS
Autor Colaborador – Guia de Necropsia e Patologia de Suínos.
Modalidade: Presencial – LABOPAVE (UFSC)
Duração: 6 horas
Conteúdo: Procedimentos práticos e abordagem técnica da necrópsia em suínos.Inscrições e informações adicionais:
Site: https://patologiaveterinaria.paginas.ufsc.br
E-mail: lahispa.ufsc@gmail.com
Telefone: (48) 3721-7181 – Equipe LABOPAVE
Instagram: @labopaveParticipe desta imersão e amplie sua visão sobre a prática diagnóstica em Patologia Veterinária.
-
Resultado seleção PROBOLSAS 2025
Resultado da seleção do Edital PROBOLSAS CVE clique aqui.
-
Inscrições PROBOLSAS deferidas
Para visualizar as inscrições deferidas clique aqui
Mais instruções da seleção foram enviadas no email dos candidatos deferidos.
-
EDITAL DE SELEÇÃO PROBOLSAS 2025
Estão abertas as inscrições para seleção de alunos bolsistas pelo PROBOLSAS 2025
Maiores informações no link abaixo:
EDITAL PARA SELEÇÃO DE BOLSISTAS – PROBOLSAS 2025 CLÍNICA VETERINÁRIA ESCOLA / UFSC (4 Vagas)
Ficha de Inscrição PROBOLSAS: ANEXO A
As inscrições vão até 14/02/25.
Projetos:
📌Patologia veterinária contribuindo para a saúde pública em SC: sanidade de animais de companhia e silvestres (1 VAGA)
📌Patologia veterinária contribuindo para a saúde pública em SC: animais de produção (1 VAGA) -
Helicobacter spp.
As helicobactérias pertencem ao gênero Helicobacter, são bactérias gram-negativas, espiraladas e flageladas que apresentam tropismo específico pelo tecido entérico, principalmente epitélio gástrico, não colonizando o epitélio intestinal. A espécie-tipo Helicobacter pylori leva a gastrite crônica persistente e doença ulcerosa péptica em humanos, também tendo sido isolada de tecido gástrico inflamado de gatos em gatis. Outras helicobactérias foram associadas à gastrite em vários hospedeiros mamíferos, dos quais muitos apresentam inflamação gástrica assintomática, Helicobacter rappini, Helicobacter felis, Helicobacter bizzozeronii, Helicobacter salomonis e Helicobacter bilis foram isoladas do estômago de cães e as espécies-tipo H. felis, Helicobacter pametensis e Helicobacter baculiformis em gatos.
O diagnóstico é dado através de biópsia gástrica e avaliação histológica utilizando corante especial de prata (Warthin-Starry) para evidenciar as espiroquetas, além disso, para o diagnóstico definitivo recomenda-se a realização de cultura e isolamento da espécie-específica de Helicobacter. Porém, para alguns tipos de helicobactérias, como H. heilmannii e H. felis, o isolamento tende a ser extremamente difícil, na prática os achados histológicos de alterações inflamatórias em conjunto com a visualização de microrganismos espiralados na mucosa gástrica são utilizados para estabelecer o diagnóstico.
Imagem 1: mucosa gástrica apresentando estruturas espiraladas. Coloração: Warthin-Starry; Objetiva: 100x.
Imagem 2: mucosa gástrica apresentando estruturas espiraladas. Coloração: Warthin-Starry; Objetiva: 100x.
Referências
GREENE, Craig E.. Doenças infecciosas em cães e gatos. 4. ed. Rio de Janeiro: Roca, 2015. 2836 p.
-
Parvovirose canina
A Parvovirose é uma doença infectocontagiosa que acomete cães, sendo considerada uma das causas mais comuns de diarreia em cães com menos de 6 meses de idade, no entanto cães de qualquer idade podem ser acometidos. É causada pelo parvovírus canino (CPV), vírus DNA de fita simples, não envelopado e com tamanho médio de 25nm. Sua transmissão ocorre a partir do contato via fecal-oral de forma direta ou indireta com fezes de cães infectados ou através de fômites.
O vírus possuí tropismo por tecido linfoide, medula óssea e epitélio intestinal, e em cães com menos de seis semanas de idade ou durante a gestação, pode infectar o miocárdio. A infecção leva a um quadro de enterite que cursa com anorexia, êmese, diarreia, desidratação e morte em casos mais agudos. Cães com miocardite apresentam insuficiência cardíaca aguda, fraqueza, taquicardia, pulso fraco, palidez e edema pulmonar, alguns colapsam e morrem antes de apresentarem sinais clínicos. Observa-se diferenças nas respostas clínicas de cães à infecção intestinal causada pelo CPV, que varia de infecção inaparente a doença aguda fatal.
Na macroscopia são observadas lesões mais pronunciadas em intestino delgado, a parede intestinal apresenta alteração de cor em segmentos e fibrina aderida na superfície serosa. Há espessamento de paredes intestinais pela congestão de subserosa e edema da camada mucosa. O lúmen intestinal pode estar vazio ou apresentando fezes amarelo-acinzentadas e com estrias de sangue ou escurecidas por ele. Há aumento e edema de linfonodos torácicos e abdominais. Quando presente, a miocardite é reconhecida por faixas pálidas em nível de miocárdio.
As alterações microscópicas são caracterizadas por necrose do epitélio das criptas do intestino delgado, as vilosidades estão encurtadas devido a ausência de substituição de epitélio pelas células de maturação das criptas, o que resulta no colapso da lâmina própria. Nos órgãos linfoides observa-se depleção linfocitária ou necrose centro-folicular. Ainda, podem ser encontrados corpúsculos de inclusão intranucleares em células epiteliais do trato gastrointestinal superior. No coração, as lesões consistem em uma miocardite não supurativa com infiltração multifocal de linfócitos e plasmócitos.
Para fins diagnósticos considera-se o histórico e sinais clínicos, o diagnóstico laboratorial da infecção pelo CPV-2 baseia-se na detecção de antígenos virais nas fezes dos animais acometidos, pela demonstração de títulos elevados de anticorpos contra parvovírus canino e por necropsia e histopatologia.
Imagem 1: Mucosa intestinal com aspecto coriáceo e material fibrilar, canino, macho, SRD, jovem.
Imagem 2: Mucosa intestinal com aspecto coriáceo e material fibrilar, canino, macho, SRD, jovem.
Imagem 3: Intestino delgado, enterite necro-hemorrágica multifocal acentuada, canino, macho, SRD, 1 ano. Coloração: HE; Objetiva: 10x.
Imagem 4: Intestino delgado, enterite necro-hemorrágica multifocal acentuada, canino, macho, SRD, 1 ano. Coloração: HE; Objetiva: 40x.
Referências
GREENE, Craig E.. Doenças infecciosas em cães e gatos. 4. ed. Rio de Janeiro: Roca, 2015. 2836 p.
MELO, Tuane Ferreira. Parvovirose canina: uma revisão de literatura. 2021. Disponível em: https://sustenere.inf.br/index.php/naturalresources/article/view/6110/3210. Acesso em: 25 abr. 2024.


















